صحة

تحذير من الأملوديبين لكبار السن: 12 أثرًا جانبيًا خفيًا يفوتها كثيرون

قصة قصيرة تكشف ما قد تخفيه الأدوية

في الشهر الماضي أخبرني رجل متقاعد بحكاية بقي أثرها في ذهني. كان يتناول حبوب أملوديبين يوميًا لضبط ضغط الدم منذ سنوات وبانتظام تام، لكنّه لاحظ فجأة أن حذاءه صار أضيق، وأن طاقته تنخفض تدريجيًا. في البداية ألقى اللوم على التقدم في السن. ثم أصبح التورّم واضحًا لدرجة لا يمكن تجاهلها، وبدأ الإرهاق يؤثر حتى على نزهاته اليومية.

تحذير من الأملوديبين لكبار السن: 12 أثرًا جانبيًا خفيًا يفوتها كثيرون

هذه المواقف تحدث أكثر مما يظن كثيرون، والحقيقة غير المريحة هي أن بعض الآثار الجانبية للأدوية قد تكون خفية وتظهر “على مرأى العين” دون أن ننتبه. فهم الإشارات التي يرسلها الجسم قد يغيّر الحوار الذي تدخله مع طبيبك. وهناك إشارة محددة قرب نهاية هذا المقال تفاجئ حتى المرضى القدامى.

لماذا يعتمد الكثيرون على أملوديبين بعد سن الخمسين؟

يعتمد ملايين الأشخاص—وخاصة من تجاوزوا الخمسين—على أملوديبين للمساعدة في التحكم بضغط الدم ودعم صحة القلب. وتصفه دراسات عديدة بأنه دواء “جيّد التحمل”، لكن الأبحاث وتجارب المرضى تشير إلى أن بعض الأعراض تظهر بوتيرة أعلى مما يتوقعه الناس.

النقطة الأهم هنا: معرفة الإشارات المحتملة لا تعني التوقف عن الدواء. بل تعني ملاحظة التغيّرات مبكرًا كي تناقشها مع طبيبك بهدوء وثقة.

أكثر التفاعلات التي يتم تجاهلها: ما الذي قد تلاحظه؟

فيما يلي أبرز الأعراض التي يذكرها المرضى، وغالبًا ما تمر دون انتباه لفترة طويلة.

تورّم الكاحلين والساقين: أول ما يلاحظه كثير من كبار السن

يُعد تورّم القدمين أو الكاحلين من أكثر التأثيرات التي يتم الحديث عنها. ويسميه الأطباء الوذمة الطرفية.

غالبًا يبدأ بشكل بسيط:

  • يصبح الحذاء أكثر ضيقًا من المعتاد
  • تترك الجوارب علامات أعمق على الجلد
  • يبدو المشي “أثقل” من السابق
تحذير من الأملوديبين لكبار السن: 12 أثرًا جانبيًا خفيًا يفوتها كثيرون

وتشير أبحاث منشورة في دوريات طب القلب والأوعية الدموية إلى أن التورّم قد يظهر لدى نسبة ملحوظة من المستخدمين، خصوصًا عند الجرعات الأعلى.

لماذا يحدث التورّم؟

يعمل أملوديبين على إرخاء الأوعية الدموية لتحسين تدفق الدم. لدى بعض الأشخاص، يؤدي ذلك إلى انتقال السوائل إلى الأنسجة القريبة، خاصة في أسفل الساقين.

علامات شائعة يصفها المرضى

  • انتفاخ الكاحلين مساءً
  • ضيق مفاجئ في الحذاء
  • ثقل في الساقين بعد الوقوف

واللافت أن هذا التورّم ليس خطيرًا عادةً، لكنه قد يؤثر على الراحة والحركة. لذلك يشجّع كثير من الأطباء على ذكره مبكرًا بدلًا من التعايش معه بصمت.

إرهاق غير متوقع أو انخفاض في الطاقة

هل شعرت يومًا بتعب غير معتاد رغم نوم جيد؟

يذكر بعض المرضى انخفاضًا تدريجيًا في النشاط بعد بدء علاج ضغط الدم. في البداية قد يبدو الأمر بسيطًا:

  • بدلًا من المشي اليومي، يفضّل الشخص الاستراحة
  • بدلًا من إنجاز الأعمال لفترة طويلة، يتوقف مبكرًا
تحذير من الأملوديبين لكبار السن: 12 أثرًا جانبيًا خفيًا يفوتها كثيرون

وتشير ملاحظات سريرية إلى أن الإرهاق قد يظهر لدى نسبة صغيرة من المستخدمين. والسبب قد يختلف بين شخص وآخر؛ مثل تغيرات ضغط الدم، أو تبدلات في الدورة الدموية، أو حساسية فردية للدواء.

معلومة مهمة: من السهل تفسير الإرهاق على أنه “شيخوخة طبيعية”، لذلك يُنصح بتتبع مستوى الطاقة عند بدء الدواء أو تعديل جرعته.

الدوخة أو لحظات خفّة الرأس

الدوخة من الأعراض التي قد تُلاحظ أحيانًا مع أدوية الضغط. وتزداد أهمية ذلك لدى كبار السن لأن التوازن وخطر السقوط يصبحان أكثر حساسية مع العمر.

قد يصف بعض المرضى:

  • خفة رأس قصيرة عند الوقوف
  • إحساسًا خفيفًا بأن الغرفة تدور
  • عدم توازن بسيط أثناء المشي
تحذير من الأملوديبين لكبار السن: 12 أثرًا جانبيًا خفيًا يفوتها كثيرون

وتقترح الأبحاث أن الدوخة قد تظهر لدى نسبة صغيرة، خصوصًا عندما ينخفض ضغط الدم أكثر من المتوقع.

هذا لا يعني أن الدواء غير آمن، لكنه يعني أن متابعة الأعراض وإبلاغ الطبيب أثناء الزيارات الدورية يساعدان على تعديل الخطة عند الحاجة.

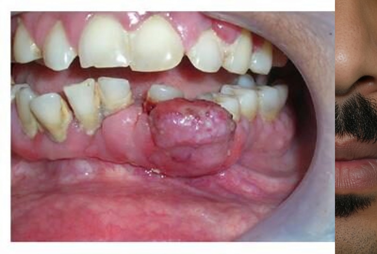
تغيّرات اللثة التي لا يتوقعها كثيرون

هذا الأثر يفاجئ عددًا كبيرًا من المرضى.

مع بعض أدوية ضغط الدم—ومنها بعض حاصرات قنوات الكالسيوم—قد تظهر تغيّرات في اللثة مع الوقت. ويطلق أطباء الأسنان على ذلك تضخّم اللثة.

قد يظهر على شكل:

  • لثة أكثر سماكة حول الأسنان
  • صعوبة أكبر عند استخدام الخيط
  • تغطية اللثة لجزء أكبر من سطح السن
تحذير من الأملوديبين لكبار السن: 12 أثرًا جانبيًا خفيًا يفوتها كثيرون

وثّقت أبحاث طب الأسنان هذا التأثير لدى نسبة صغيرة من مستخدمي هذه الفئة الدوائية. وغالبًا ما تساعد العناية الفموية الجيدة في تقليل حدته.

ينصح أطباء الأسنان عادةً بـ:

  • تنظيف أسنان دوري في العيادة
  • استخدام خيط الأسنان بلطف يوميًا
  • فحوصات منتظمة للأسنان واللثة

خفقان القلب وإحساس السخونة أو الاحمرار المفاجئ

قد يلاحظ بعض الأشخاص إحساسًا عابرًا بأن القلب يدق أسرع أو أقوى. ويسمي الأطباء ذلك الخفقان. كما يصف آخرون دفئًا مفاجئًا في الوجه أو احمرارًا يزول سريعًا.

تشير تقارير سريرية إلى أن هذه الأعراض تظهر لدى أقلية من المستخدمين، لكنها قد تكون مزعجة عند حدوثها دون توقع.

أوصاف شائعة:

  • دفء في الوجه
  • نبض قوي مؤقت
  • احمرار مفاجئ في الجلد
تحذير من الأملوديبين لكبار السن: 12 أثرًا جانبيًا خفيًا يفوتها كثيرون

الخبر الجيد أن هذه النوبات غالبًا مؤقتة، ومع ذلك فإن ذكرها للطبيب خلال المتابعة يساعد على تقييم الحاجة لأي تعديل.

اضطرابات هضمية، تقلصات عضلية، وتغيّرات في النوم

أحيانًا تظهر آثار الدواء في أماكن لا نتوقعها.

بعض المرضى يذكرون:

  • غثيانًا خفيفًا أو انزعاجًا معديًا
  • تقلصات عضلية، خصوصًا ليلًا
  • تغيّرات في جودة النوم

أمثلة يذكرها المرضى:

  • نوم متقطع أو غير مريح
  • تقلصات الساق أثناء الليل
  • انزعاج بسيط في المعدة
تحذير من الأملوديبين لكبار السن: 12 أثرًا جانبيًا خفيًا يفوتها كثيرون

هذه الاستجابات تختلف كثيرًا من شخص لآخر. فالعمر، وكيمياء الجسم، وأدوية أخرى تُؤخذ بالتزامن قد تغيّر الطريقة التي يتفاعل بها الجسم مع أملوديبين.

ملخص سريع لأكثر التأثيرات شيوعًا حسب ما يبلّغ عنه المرضى

  1. تورّم الكاحل/القدمين: انتفاخ أو ضيق الحذاء (يزداد مع الجرعات الأعلى)
  2. الإرهاق: انخفاض الطاقة أو تعب ملحوظ (قد يظهر أكثر لدى كبار السن)
  3. الدوخة: خفّة رأس خاصة عند الوقوف
  4. تغيّرات اللثة: سماكة اللثة مع الاستخدام طويل المدى
  5. الخفقان: تسارع/قوة نبض مؤقتة (قد تكون حساسة للجرعة)
  6. الاحمرار/السخونة: دفء واحمرار مفاجئ (قد يُلاحظ لدى بعض النساء أكثر)

خطوات بسيطة لمراقبة الآثار الجانبية بثقة

يوصي الأطباء غالبًا بعادات عملية تساعد على اكتشاف التغيّرات مبكرًا:

  • الاحتفاظ بدفتر صحي صغير لتدوين الأعراض وتوقيتها
  • قياس ضغط الدم بانتظام
  • إبلاغ الطبيب بأي أعراض جديدة خلال المواعيد
  • الالتزام بزيارات الأسنان الدورية
  • الحفاظ على الترطيب والنشاط ضمن القدرة

هذه الخطوات لا تُغني عن الرعاية الطبية، لكنها تجعل التواصل مع مقدمي الرعاية الصحية أوضح وأكثر فاعلية.

الخلاصة: الوعي أقوى من الخوف

يعتمد ملايين الأشخاص على أدوية مثل أملوديبين لدعم ضغط دم صحي ووظيفة قلب أفضل، وكثيرون يستخدمونه لسنوات دون مشاكل تُذكر. ومع ذلك، قد تظهر إشارات هادئة بمرور الوقت مثل التورّم، الإرهاق، الدوخة، أو تغيّرات اللثة.

ملاحظة هذه العلامات مبكرًا تتيح للمريض والطبيب العمل معًا للوصول إلى أفضل خطة علاجية ممكنة.

أقوى أداة صحية ليست القلق، بل الوعي. وعندما يفهم المرضى أجسادهم، غالبًا ما يتخذون قرارات أفضل ويشعرون بثقة أكبر في إدارة صحتهم.

الأسئلة الشائعة

  1. هل تورّم الكاحل شائع مع أدوية ضغط الدم؟
    بعض المرضى يبلّغون عن تورّم الكاحل عند استخدام أدوية معينة لارتفاع الضغط. وتشير الأبحاث إلى أنه قد يظهر لدى نسبة ملحوظة من المستخدمين. من الأفضل مناقشته مع الطبيب لتحديد النهج الأنسب.

  2. هل يجب أن أتوقف عن أملوديبين إذا ظهرت أعراض جانبية؟
    لا ينبغي إيقاف أي دواء دون توجيه طبي. عند ظهور أعراض، تحدث مع مقدم الرعاية الصحية لمراجعة العلاج والخيارات المتاحة.

  3. هل الآثار الجانبية نفسها تظهر لدى الجميع؟
    لا. تختلف الاستجابة حسب العمر والجرعة والحالة الصحية العامة والأدوية الأخرى المستخدمة بالتزامن.